牙齿表面有黑斑图片
概述症状
牙齿表面有黑斑,可能是日常饮食、吸烟等因素导致的色素沉着,患者一般无其他牙齿不适表现,如同时伴有牙龈出血可能是牙石引起牙龈炎。如有牙痛等其他症状表现,可能是龋齿引起。牙齿病变部位多由半透明的乳黄色变为浅褐色或黑褐色,对酸甜食物较为敏感,特别是冷刺激尤为明显,刺激去除后,症状消失。病变如破坏到了牙本质深层,牙齿有较深的龋洞形成,温度刺激、化学刺激以及食物进入龋洞后均引起疼痛。

色素沉着牙齿黑斑与牙石图
图片可能会引起您的不适,
是否继续查看?

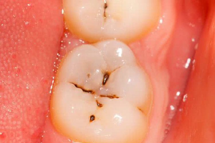
龋齿黑斑图
图片可能会引起您的不适,
是否继续查看?
病因色素沉着与牙石
多与患者的日常习惯有关。如长期喝茶、吸烟、嚼槟榔,或长期使用氯己定或高锰酸钾溶液漱口,工作接触较多的铁、硫等矿物质,日常不注意口腔卫生习惯等因素可导致牙齿着色,形成黑斑。
牙石是口腔卫生不良,在牙面上的菌斑和软垢逐渐钙化形成硬性钙化物,早期黄色、随着色素沉着变为黄褐色和黑褐色,是牙龈炎和牙周炎的主要发病原因。
龋齿
龋齿是一种口腔中多种因素复合作用所导致的牙齿硬组织进行性病损。食物是龋齿的物质基础,日常进食较多的糖类食物,可经细菌代谢产生酸性物质,进而造成龋齿。此外,牙齿排列不齐、唾液抗菌能力下降等因素都与龋齿的产生有关。
治疗
饮食等日常习惯导致的牙齿色素沉着黑斑与牙石,一般可通过口腔清洁,包括超声波洁牙、喷砂洁牙等方式去除;如是龋齿,浅龋一般可选择药物治疗,常用药物有硝酸银和氟化钠等;对于已经形成实质性缺损的牙齿,可通过填充术、嵌体或人造冠修复治疗,以恢复其形态和功能。
王莉,刘东,张永辉,秦宁艳等主编;刘丽梅,沈全明,行勇军,王志强等副主编.临床口腔医学新进展 上.长春:吉林科学技术出版社,2017.09.74。
陈彬主编.现代口腔科诊疗精要.哈尔滨:黑龙江科学技术出版社,2019.05.45-46.
